Tratamiento dental con macrodoncia y apiñamiento en Torremolinos.
Volvemos a los casos reales que nos llegan a nuestra clínica dental de Torremolinos. Este mes os queremos hablar de un chico joven con una coyuntura seria de macrodoncia generalizada y apiñamiento con asimetría intensa. Os lo contamos.
Este joven pidió cita cuando tenía 24 años de edad. Como ya sabéis, la primera visita es gratuita. En ella, el chico nos contaba que no le gustaba la sonrisa que tenía, que se encontraba acomplejado y que, además, tenía problemas a la hora de masticar la comida. En esta primera evaluación le explicamos su situación y los pasos a seguir.

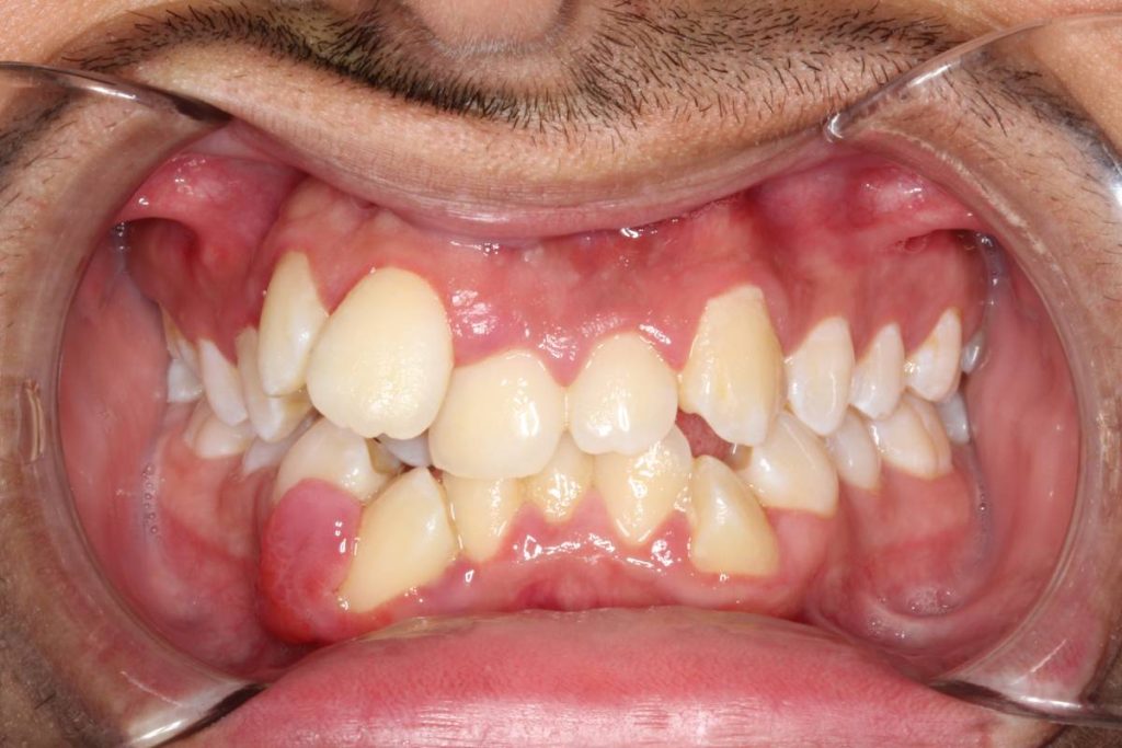
Situación de partida del joven del caso 139.
En la siguiente visita, nuestro equipo realizó la recogida de datos para obtener el diagnóstico final: una anamnesis completa, fotografías para documentar y seguir su caso, estudios radiológicos y un escáner intraoral 3D (enlace). Reunida toda la información, el director clínico, Juan Jesús Martínez Avilés, evalúa las imágenes, los datos y por último elabora una cefalometría del caso 139 para determinar el problema y enfocar el tratamiento.
Pero su situación era compleja: después de valorar todos los apuntes, y según nuestras mediciones, tenía una desviación de la línea media de 12 mm y una discrepancia óseo-dentaria de 14 mm. Estos números quizás no os digan nada, pero dentro de nuestro trabajo son una barbaridad para que una boca realice de forma correcta todas sus funciones.

Indicaciones gráficas para una mejor compresión de su situación.
Nuestras sospechas se confirmaban. El caso 139 residente en Torremolinos presentaba 2 circustancias que suelen ser comunes a este tipo de situación aguda y que hacen los tratamientos sean más complejos: macrodoncia generalizada y apiñamiento con asimetría debido a una discrepancia óseo-dentaria. Vamos por partes y explicaremos primero qué significa cada cosa.
Macrodoncia, qué es.
La macrodoncia (del griego makros-grande y odous-diente) es una situación por la cual la persona tiene uno o varios dientes más grandes que el resto. No es algo que aparezca repentinamente durante la edad adulta, sino que ocurre durante el crecimiento de los dientes.
Se desconoce el origen que provoca la macrodoncia. Repasando la bibliografía científica encontramos que existen varios síntomas asociados a esta. El caso 139 los tenía todos menos el tercero, gracias a una gran higiene bucodental diaria.
– Desalineación de los dientes vecinos y apiñamiento.
– Maloclusión que resulta en una mordida irregular que provoca dolor intenso en la articulación mandibular.
– Aparición de caries debido a la forma irregular de los dientes.
– Dificultades significativas de autoestima y confianza en la apariencia física.

Imagen completa del paciente: puede comprobarse todos los problemas que hemos comentado anteriormente.
Discrepancia óseo-dentaria, definición y demás información.
La discrepancia ósea dentaria es la diferencia entre el espacio óseo habitable (espacio disponible) y el tamaño dental (espacio requerido). Cuando es positiva, es decir, cuando hay más espacio disponible, suele generar diastemas (separación de dientes). Es fácil deducir qué sucede en caso contrario: si la discrepancia es negativa causa apiñamiento y/o maloclusión.
Así que nuestro joven presentaba una pescadilla que se muerde la cola constantemente.
Caso 139: tratamiento de macrodoncia y apiñamiento muy severo en joven adulto.
Una vez recopilados los datos para dar el diagnóstico (anamnesis, fotografías, radiografía y escáner oral) y evaluada la situación de partida, pasamos a la acción.
Comprobamos que su estado de salud general era óptimo para comenzar un plan de tratamiento específico, además de una buen salud bucodental y una magnífica predisposición al cambio. Eso siempre ayuda.
La mejor opción para llevar a cabo la restauración de su sonrisa es a través de una ortodoncia clásica con brackets; con ella recolocas los dientes en la posición correcta y consigues una mordida funcional, además de una bonita sonrisa.
Una vez la ortodoncia puesta, y debido a la falta de espacio por su discrepancia óseo-dentaria, procedimos a la extracción de los premolares tanto superiores como inferiores. Así creábamos el lugar suficiente para “mover” los dientes y conseguir el mejor resultado final.
Recordamos que el eje que separa ambas mitades estaba desplazado 12 mm hacia la derecha del paciente en la parte superior, mientras que en la arcada inferior la discrepancia era menos, pero al revés.
Cronología del tratamiento en Torremolinos con macrodoncia y apiñamiento muy severo.
En una primera estimación, calculamos unos 24 meses para llegar al punto deseado. Pero no nos hizo falta tanto tiempo. Gracias a la buena respuesta del joven, 20 meses fue suficiente para la obtención de los resultados deseados.

Imagen completa del paciente post tratamiento dental.
Si os fijáis, la paleta derecha era (de forma natural) un poco más grande que la de al lado, pero el paciente afirmó que le gustaba esa asimetría y que no quería ningún tipo de talla o intervención en ella. A nosotrxs nos pareció perfecto por que tu boca es única y las singularidades son las que la hace diferente.

Imagen de una sonrisa sana y funcional después del tratamiento.
Antes y después


Conclusión:
Un buen diagnóstico lleva tiempo y recursos pero es fundamental para plantear un plan de tratamiento acertado a las necesidades del paciente. Escucharte y dedicar el tiempo necesario forma parte de nuestro trabajo.
Si queréis revisar más casos clínicos reales tenemos un apartado donde ver algunos de los que hemos tratado a lo largo de esta actividad apasionante en Torremolinos.
No dudes en consultarnos sin compromiso alguno. Llámanos al 952 00 95 19 para concertar tu primer cita gratuita en nuestra clínica en Calle de la Cruz, nº 29.
Os esperamos en el siguiente post 🙂
