La importancia de la prevención en odontopediatría.
Este mes volvemos a hablar de casos que hemos tratado en nuestra clínica dental y, con el número 55, queremos hacer hincapié en la importancia de intervenir a tiempo. Lo vais a ver en unas líneas pero, antes, os ponemos en situación:
Hace unos años nos llegó a Torremolinos una niña de 8 años de edad (obviamente no llegó sola, sino con su madre). La realidad que nos explicaban era que la chica tenía una mordida cruzada bastante palpable: no podía comer bien y le estaba afectando al lenguaje hablado. Y, además, siempre tenía la boca abierta.
Ahí estaba el quid. Ella no podía respirar por la nariz realizando respiración oral. Esa circunstancia que parecía anodina era el origen de la maloclusión.
La respiración por la boca de forma continuada es un problema a largo plazo en la salud general ya que aumenta el número de infecciones bacterianas y víricas de garganta: la primera barrera, que es nuestra nariz, no se usa, y todo pasa por la boca, con lo que se generan amigdalitis de recurrencia e índices mayores de resfriados.
Pues bien, una vez que escuchamos tanto a la pequeña como a la madre, comenzamos la exploración. Analizando su situación comprobamos que tiene una comprensión maxilar severa secundaria por dicho patrón de respiración oral causada por una adenoiditis —las conocidas vegetaciones (grandes “amigas” de los que somos del siglo pasado)—.
Respiración oral en peques, ¿qué conlleva?
Cuando un/a niñx no respira por la nariz se produce una atrofia de todo el área perinasal, incluido el suelo de nariz, que es nuestro paladar (si lo ves desde la boca). Esta situación prolongada en el tiempo desemboca, de forma secundaria, en que la mandíbula no se desarrolle de forma correcta, así como los pómulos y el cuello.

Sección sagital de la nariz y anexos.
¿A qué se debe?
A que para poder respirar por la boca, lxs niñxs tienen que doblar la cabeza hacia atrás provocando, en casos muy severos, problemas en la evolución vertebral (escoliosis o cifosis)
Si el bloqueo nasal permanece y no se reeduca la respiración, se puede producir incluso problemas en el crecimiento por defecto en la oxigenación, apnea del sueño, etc.
Caso 55: cuál era su situación el día que llegó a consulta.
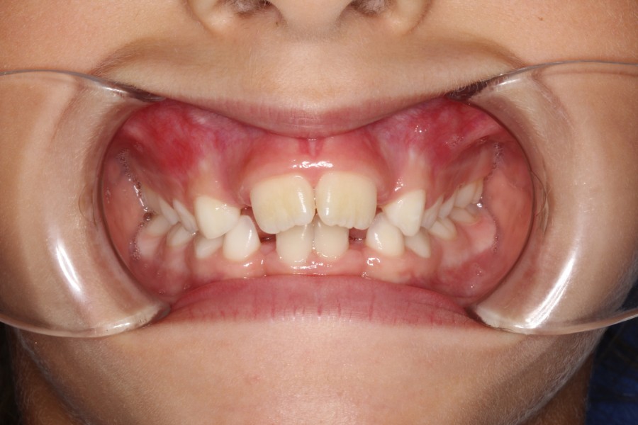
Esta chiquita era un caso de compresión severa con mordidas cruzadas posteriores bilaterales, es decir, que su maxilar encajaba por dentro de la mandíbula. Para que nos hagamos una idea, en una situación normal, los dientes de arriba sobresalen por fuera de los de abajo unos 2-3 mm. Esta niña tenía un déficit de 8 mm de anchura (que es mucho), y un déficit del crecimiento de la mandíbula de unos 5 mm en sentido sagital.

Aspecto de compresión maxilar severa en niña de 8 años.
Entonces, ¿cuál fue nuestro plan de intervención en Martínez Avilés?
Estamos hablando una paciente en edad de crecimiento. Eso nos da un margen de trabajo más amplio y plástico que en pacientes adultxs. Hay que pensar en que si esto nos lo encontramos en edades a partir de 25 años, la solución es la intervención quirúrgica.
Por lo tanto, planteamos el procedimiento en dos fases. Inciso: siempre que nos es posible fraccionamos el tratamiento para hacerlo lo más óptimo y aprovechar el potencial de desarrollo del paciente.
1º fase en compresión severa con mordidas cruzadas.
El primer paso fue actuar mediante ortopedia maxilar, donde colocamos un aparatito que se llama disyuntor para expandir el maxilar esos 8 mm de déficit que habíamos diagnosticado.

Primera visita del caso 55 con maloclusión cruzada por compresión maxilar. Antes de la primera fase del tratamiento.
Con esta fase de ortopedia, que se hace mientras hay dientes de leche o en fase de recambio, lo que buscamos es que los huesos del paladar que no han crecido de forma correcta alcancen la posición y tamaño más adecuado. Al ensanchar el maxilar de forma casi automática, la mandíbula se destraba y comienza a crecer de forma normal.
En el caso 55 no creció creció tanto como esperábamos: habíamos visto que el perfil facial de la paciente era de «mala crecedora» (otro día hablaremos de eso), pero mejoró bastante respecto al estado inicial. A pesar de eso, teníamos un as en la manga.
Descanso
El primer procedimiento es corto, son solo de 3 a 6 meses, Entonces se retira el aparato. Después de esto, se controla la situación y recambio dentario con revisiones semestrales para vigilar que todo se desarrolla bien y, de paso, examinamos higiene y posibles caries.
Una vez que llegamos al estadio de que todos los los dientes han sido recambiados (suele ser alrededor de los 11 años, aunque eso varía en función de cada niñx), y coincidiendo con el pico de crecimiento de la pubertad, se planifica el inicio del tratamiento en segunda fase.

Etapa de descanso durante reposición y crecimiento dental.
2º fase en el caso 55.
Optamos por utilizar aparatología fija (brackets) para esta chiquilla. Además, se volvió a expandir el maxilar porque seguía con cierta compresión, en esta ocasión moderada. Para corregir el déficit de desarrollo mandibular se usaron elásticos durante el procedimiento. En esta segunda expansión, la mandíbula sí que reaccionó de forma más favorable. El crecimiento fue nuestra carta guardada en la manga. No había cumplido 14 años cuando se le quitó el aparato.

Segunda etapa en el tratamiento de la compresión maxilar severa secundaria.
Conclusión a la que llegamos.
Actuar en edades temprana es fundamental para que no llegue “la sangre al río”; de ahí que insistamos en la asistencia a clínica para prevenir.
Con este tipo de planificación, que es la que más nos gusta usar en la clínica, conseguimos:
⁃ Que el tratamiento se haga en dos veces, haciendo mas llevadero el mismo y acortando el tiempo total de proceso.
⁃ Alcanzamos un resultado más consolidado en el tiempo, porque hacemos cambios en el crecimiento, que a la postre son más duraderos.
⁃ Mejorar rasgos faciales y mejorar el perfil de la paciente.
– Convertir un caso potencialmente grave, si se espera para ser tratado de adulto, en un caso relativamente sencillo de resolver.
Por eso remarcamos al principio la importancia de intervenir a tiempo: un par de años más y la niña del caso 55 tendría que haber pasado por quirófano.

Última visita del caso 55 al terminar el tratamiento en 2 fases.
Cronología del caso 55.
El procedimiento tuvo una duración total de 3 años aproximadamente invertidos desde los 8 años a los 14. Los tiempos fueron:
⁃ Primera fase de ortopedia a los 8 años durante 5 meses.
⁃ Descanso con revisiones semestrales, de los 9 a los 12 años.
⁃ Segunda fase de ortopedia junto ortodoncia, desde los 12 años hasta casi los 14.

Aspecto de la sonrisa del caso 55 al terminar su tratamiento.
En odontología somos muy pesadxs: prevenir, prevenir, prevenir. Pero es la herramienta más efectiva para cualquier situación que nos llega, desde las más sencillas como una caries hasta las más complicadas. Por eso son tan necesarias las revisiones. Y, en caso de lxs nenxs, que su primera visita sea a los 6 años o si hay un problema, antes. Nos da el tiempo para programar todo el proceso de actuación para que el éxito de la intervención sea el mayor.
Antes y después.


No dudes en consultarnos tu caso sin compromiso alguno. Llámanos al 952 00 95 19 para concertar tu cita en nuestra clínica de Torremolinos (Calle de la Cruz, nº 29).
